Dental Emergencies: What Counts and What to Do
- Margav Soni
- Feb 13
- 3 min read
Dental emergencies can happen when you least expect them — during meals, sports, or even while sleeping. Knowing what qualifies as a dental emergency and how to respond can help save your tooth, reduce pain, and prevent serious complications.
At Equinox Dental, we want our patients to feel confident handling urgent dental situations. Here’s what you need to know.

What Is Considered a Dental Emergency?
A dental emergency typically involves pain, trauma, infection, or bleeding that requires prompt professional care.
Common dental emergencies include:
Severe toothache or pressure
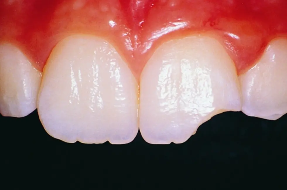
Broken, cracked, or chipped teeth
Knocked-out (avulsed) teeth
Facial swelling or dental abscess
Bleeding that doesn’t stop
Lost fillings or crowns causing pain
Signs of infection such as fever or swelling
If you’re unsure whether your situation is urgent, it’s always better to call. Early treatment often prevents more extensive procedures later.
What to Do in Common Dental Emergencies
Severe Tooth Pain
Rinse your mouth with warm water and gently floss to remove any trapped debris. Avoid placing aspirin directly on the tooth or gums. If pain persists, contact your dentist as soon as possible.
Broken or Chipped Tooth
Rinse your mouth and save any broken fragments if possible. Apply a cold compress to reduce swelling. Avoid chewing on the affected side and schedule an emergency dental visit.
Knocked-Out Tooth
Time is critical.
Handle the tooth by the crown (not the root)
Rinse gently if dirty (do not scrub)
Try placing the tooth back into the socket
If that’s not possible, store it in milk or saliva
Seek dental care immediately
Prompt treatment greatly increases the chance of saving the tooth.
Swelling or Abscess
Facial swelling, gum boils, or persistent pain may indicate infection. This is a true dental emergency and should be treated right away to prevent the spread of bacteria.
Lost Crown or Filling
If discomfort is present, avoid chewing on that side and call your dentist. Temporary dental cement (available at pharmacies) may help protect the area until you’re seen.

What Is NOT Usually an Emergency?
Some issues can wait for a regular appointment, including:
Mild sensitivity
Small chips without pain
Cosmetic concerns
Loose baby teeth
When in doubt, call your dental office for guidance.
Why Prompt Dental Care Matters
Delaying emergency treatment can lead to:
Increased pain
Infection spread
Tooth loss
More complex and costly procedures
Quick care often means simpler treatment and better outcomes.

How to Reduce Your Risk of Dental Emergencies
While not all emergencies are preventable, you can lower your risk by:
Wearing mouthguards during sports
Avoiding chewing ice or hard objects
Maintaining regular dental cleanings
Addressing small dental problems early
Practicing good daily oral hygiene
Prevention is always easier than repair.
When to Seek Emergency Care
If you experience any of the following, do not delay getting professional help:
Intense pain that lasts more than a day.
A tooth knocked out or severely broken.
Swelling that affects your face or neck.
Signs of infection such as fever or pus.
Difficulty breathing or swallowing after oral injury.
Uncontrolled bleeding.
When You Need Urgent Dental Care
If you’re experiencing dental pain, swelling, trauma, or bleeding, Equinox Dental is here to help. Our team provides prompt emergency care to relieve discomfort and protect your oral health.
Contact our office right away if you believe you’re having a dental emergency.


Comments